aviscera bioscience  
AVISCERA BIOSCIENCE  
line decor
  HOME  ::  
line decor
   
 
Soluble VEGF R1/sFlt-1 Proteins, Antibody and ELISA Kits

Alternative name:

  • fms-related tyrosine kinase 1 (vascular endothelial growth factor/vascular permeability factor receptor)
  • Fms-like tyrosine kinase 1 (Flt-1)
  • Vascular permeability factor receptor
  • vascular endothelial growth factor receptor 1
  • VEGF-R1
Receptor for VEGF, VEGFB and PGF. Has a tyrosine-protein kinase activity. The VEGF-kinase ligand/receptor signaling system plays a key role in vascular development and regulation of vascular permeability. Isoform SFlt1 may have an inhibitory role in angiogenesis.
 
 

New Human Soluble VEGF -RI ELISA Kit SK00114-06 enables to detect circulating samples

human soluble VGF R1 elisa kit sk00114-06 enables to detect human samples. that is available in aviscera bioscience
Human Soluble VEGFR1/sFlt-1 ELISA
Code No.: SK00114-06
Size: 96 T
Price:
Standard Range:3.9-250 ng/ml
Dynamic Range: 3.9-250 ng/ml
Sensitivity:100 pg/ml
Sample Type: serum, EDTA plasma
Sample requres: 250 ul
IntraCV: 4-6%
InterCV: 8-10%
Protocol: PDF
Human Soluble VEGFR1/sFlt-1 ELISA
Code No.: SK00114-01
Size: 96 T
Price:
Standard Range:156-10000 pg/ml
Dynamic Range: 156-10000 pg/ml
Sensitivity:78 pg/ml
Sample Type: cell cultures, serum, plasma
Sample requres: 250 ul
IntraCV: 4-6%
InterCV: 8-10%
Protocol: PDF
 
 
Human Soluble VEGFR1/sFlt-1 (32-327) ELISA
Code No.: SK00114-09
Size: 96 T
Price:
Standard Range:3.9-250 ng/ml
Sensitivity:260 pg/ml
Sample Type: cell cultures, serum, plasma
Sample requres: 250 ul
IntraCV: 4-6%
InterCV: 8-10%
Protocol: PDF

 

Human VEGF-R1/sFlt-1 ECD (32-327)Recombinant
Code No.: 00114-01-100
Size: 100 ug
Price:
Protein ID:P17948
Gene ID: 2321
MW:35 KD
Tag: His Tag on N-Terminus
Expressed: E. Coli
Purity: 95%
Data Sheet: PDF
Human VEGF-R1/sFlt-1 ECD (335-654)Recombinant
Code No.: 00114-06-100
Size: 100 ug
Price:
Protein ID:P17948
Gene ID: 2321
MW:54 KD
Tag: His Tag on N-Terminus
Expressed: E. Coli
Purity: 95%
Data Sheet: PDF
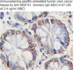
Anti Human sVEGF-R1/sFlt-1 IgG
Code No.: A00114-07-100
Size: 100 ug
Price: 
Host: Rabbit
Antigen: human sVEGFR-1/sFlt-1 (32-327) Rec.
Ab Type: Polyclonal IgG
Purification: Protein A
Applications: E, WB
Working Dilution: 2 ug/ml)
Data Sheet: PDF
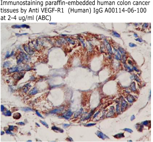
Anti Human sVEGFR-1/sFlt-1 IgG
Code No.: A00114-06-100
Size: 100 ug
Price: 
Host: Rabbit
Antigen: human sVEGFR-1/sFlt-1 (335-654) Rec.
Ab Type: Polyclonal IgG
Purification: Protein A
Applications: E,WB
Working Dilution: 2 ug/ml)
Data Sheet: PDF

 

Name
Code No.
Size
Price ($)
Soluble VEGF-R1/sFlt-1 (Human) ELISA Kit  (for serum or plasma sample assay) SK00114-06 96 T  
Soluble VEGF-R1/sFlt-1 (32-327) (Human) ELISA Kit  SK00114-09 96 T  
Soluble VEGF-R1/sFlt-1 (Human) ELISA Kit
96 T
 
Soluble VEGF-R1/sFlt-1 (Mouse) ELISA Kit
96 T
 
sVEGFR1/sFlt-1 (Human) Rec. (human cells)
10 ug
 
sVEGFR1/sFlt-1 (Human) Rec. (human cells)
50 ug
inquire
sVEGFR1/sFlt-1 (32-327) (Human) Rec.
100 ug
sVEGFR1/sFlt-1 (335-654) (Human) Rec.
100 ug
Anti sVEGFR1/sFlt-1(Human) IgG
100 ug
Anti sVEGFR1/sFlt-1(Human) IgG
100 ug
Anti sVEGF-R1/sFlt-1 (Human) Antibody
100 ul
Anti sVEGF-R1/sFlt-1 (32-327) (Human) Monoclonal Antibody
100 ug
Anti sVEGF-R1/sFlt-1 (335-654) (Human) Monoclonal Antibody
100 ug